失語症記念館
restore.gif

Copyright (c) 2003 by author,Allrights reserved

その2 ご質問に答えて


画像
後方限局
後方限局病巣例

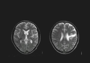
前方限局
前方限局病巣例

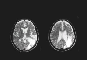
MCA広範病巣
広範病巣例

言語聴覚士 佐野 洋子
江戸川病院

2003年 4月:

 
質問:リハビリをいくら受けない内に、「失語症は良くならないんですよ」と担当の医師から言われて、本人も家族も大変ショックを受けました。
 脳に受けた損傷の場所や広さで、失語症でも回復の経過が違うと本に書いてあったのですが、詳しく教えてください。
お答え:1回目の記事の中でも書いたのですが、失語症の回復の程度に関わる要因はたくさんあります。その中で一番重大な要因は、なんと言っても、脳に受けた傷の場所と広さです。右利きの方が、左半球を損傷した場合の話をしましょう。
質問:右利きの人は、大脳の左側半分が言語に関わる働きを持っているのですか。
お答え:そうです。大脳を横側から見ると、表面はたくさんの溝で区切られたようになっていて、これを前頭葉、側頭葉、頭頂葉、後頭葉と言うように、区分して呼んでいます。そして各部分が違う機能を受け持っています。これは大脳の皮質といって外側の部分の区切り方ですが、大脳の内側(皮質下といいます)もまた、神経の繊維の束や、神経繊維の中継をする核など、細かく分かれていて、それぞれ働きを持っていますから、どの部分がどれだけの広がりで損傷されたかで、現れる障害も全部違ってきます。脳梗塞の場合、脳の血管のどの枝が詰まってしまったのかで、壊れてしまう部分が決まってきますし、出血した場合は、周囲が壊れるだけでなく、一時的にしろ出血で更に広い周囲の部分が圧迫されるので,CTなどに映る病巣以上に甚大な組織の破壊が起こっていることが多いのです。
質問:失語症を起こす典型的な例と、それぞれの経過を教えてください。
お答え:一番広い範囲の大脳が損傷されるのは、中大脳動脈という太い血管が根元から詰まった場合で、前頭葉の一部、側頭葉、頭頂葉、一部の後頭葉まで、皮質とその内側の皮質下とも、左の大脳半球のほとんどが壊れてしまいます。この状態は、心臓病のため大きな血栓が出来て、脳に向かった場合など、20歳台という若い方にも起こり得るので、すべての年齢層の患者さんがおられます。この場合言葉の機能は、聞く・読む・話す・書くの全部がほとんど失われてしまうのが普通です。ではこの場合も全く失語症は回復しないかというとそうでもありません。特に若い方では、軽症の失語症にまで3年以上の年月をかけて回復した方がたくさんあります。10歳台、20歳台の方の回復は顕著です。高年齢のなると、残っている大脳の機能を再編成するだけの脳の潜在的代償能力(脳の可塑性といいます)が低くなるので、若い方のようには行きませんが、単語や簡単な文章での表現や複雑でない文章の理解などが可能になることは良く見られます。
 ただしこのような広範な病巣の方の回復は立ち上がりも遅く、2〜3年訓練をきちんとしていると、だいぶ良くなってきたと思えるようになるわけです。よほど高齢の方や、今回の発病で損傷されなかった「残っている脳」が、多発性の脳梗塞や萎縮などで傷んでいる場合を除いては、回復の可能性を信じて失語症の方も、また訓練にあたる言語聴覚士も簡単には諦めないようにしたいものです。
質問:今お話しがあった「広範な病巣」の場合は、麻痺も合併しますか。
お答え:そうです。ほとんどの方は右上下肢に麻痺があります。話し言葉はたどたどしく、構音失行という「言おうとする音韻を発音するための運動命令を発音器官にうまく出せない」症状をほとんどの場合伴っています。
 構音失行がひどいと、母音もまともに発することが出来ないことがあります。
 構音失行だけが問題ならば、構音の練習をすればよいのですが、今お話したような広範病巣による失語症の多くの方では、「言いたい言葉に対応する音が頭の中に浮かばない」障害が強く、このために話せないのです。ですから言葉の意味を理解するための訓練と合わせて、文字や実物あるいは絵に対応する「音」を聞いたり、文字の音読練習をしたりして、対応する音を頭の中に思い浮かべられるようにすることが大切です。根気強く繰り返し訓練する必要があります。
質問:脳の前の方(前頭葉)だけが損傷されて失語症が出ることもあるんですか。
お答え:数は少ないのですがあります。前頭葉に病巣が限られた失語症は、一般に良くなると考えられます。特に前頭葉の「運動の指令」を出す部分(中心前回という場所)だけが損傷された場合、構音失行だけが主な症状で、言葉の理解や書字能力にはほとんど問題が残りません。といっても発症から間もないと時(0〜6ヶ月)は意味理解や書字にも困難がありますが、急速にこれらの症状は改善していきます。構音失行はきちんと訓練しないと語唖といって、ほとんど発音が出来ないままにとどまって しまうことがあります。系統的に構音の練習をすることが大切です。
 構音は練習によってかなり楽に出来るようになりますが、たどたどしい話しかた(プロソデイーの障害といいます)の特徴は消失せず、また練習を怠っていると構音の状態が悪化することも解っています。少しずつでもいいので、構音の練習は日々続けていただきたいものです。
質問:教科書に前頭葉の「BROCA野」がやられると、「運動性失語症」が起こると書いてあるのですが、そうなのですか。
お答え:最近の研究で「BROCA野」だけが壊れたのでは、失語症は起こらないらしいということが解ってきました。「運動性失語症」というのは、厳密に言えば、この前で述べた「中心前回の一部」が損傷されて、構音失行だけが起こったような失語症のことを指しているのですが、この症状は「BROCA野」だけの損傷では起こりません。「BROCA野」は言葉の音韻に関する情報処理に関わっているらしいことは解っているのですが、その働きははっきりは解っていません。
 ともかく、前頭葉だけに病巣のある失語症は良くなることを信じて頑張って戴きたいものです。
質問:失語症の方でも、流暢に話す方がおられますが、その場合は構音失行症状がないわけですね。そういう方の回復はどんな様子ですか。
お答え:大脳の側頭葉や頭頂葉を中心とする損傷で失語症が起こる場合は、話しことばは流暢で一見なんでもないようにも思えますが、良く聞いてみると間違った言葉がたくさん含まれていたり、でたらめな音が並んでいて何を言いたいのか全く推測もつかないような状況だったりします。また言葉の意味を理解する機能に障害が重いことから、質問されている内容を理解出来ず、コミュニケーションが取れない訳です。
 こういった失語症の典型が「感覚性失語症」と呼ばれています。
 この様な方の多くは体に麻痺を伴わないのも特徴です。
質問:流暢に話す失語症の方の経過は皆同じようですか。
お答え:そうではありません。少し専門的になりますが、傷の広がり方で経過は違います。
 上側頭回、縁上回、角回という脳の部分、これは側頭葉・頭頂葉の中でも上の方になりますが、そこに傷が限局している場合は、急速に回復して1年以内には、時々音を探るように言いよどむことはあっても軽症の失語症までに回復するのが普通です。
 感覚性失語症という場合はこれよりも広く損傷されていることが多いのですが、傷が後ろへ、また側頭葉の下の方へと広がる場合は重症になり、回復不良が方も増えてきます。この場合でも年齢は若い方が有利で、30歳未満で発症したこのような失語症の方はほとんどの場合軽症の失語症にまでに回復します。ただし60歳台の方でも、数年にわたって回復しつづけた症例を何例も見ているので、訓練への意欲が高い場合には頑張ってみてはいかがでしょうか。
質問:流暢に話すタイプの方でも良くならない方もあるように思うのでですが。
お答え:そうです。どういう場合に回復が悪いのかを、詳しく調べてみています。今のところ解っているのは、残された大脳に、小さな脳梗塞が散在していたり、脳が萎縮していたり、脳室が広がってしまっていたり(重症の脳内出血の場合脳室にも血液が流れ込んで、結果として脳室が広がった状態が残る場合など)する、言い換えれば残った脳がすでに痛んでいる場合、回復が悪いようだと言うことです。でもまだ詳細は解っていません。
 いろいろの場合があるので、発症初期の段階でおいそれと予後を決めることが出来ないわけです。
質問:これまでは主として大脳の外側、つまり皮質の傷の受け方で分類して失語症の経過を考えた話だったと思いますが、脳の外側ではなくて、脳の中側に出血してしまう「脳内出血」や脳の内側だけに起こる脳梗塞の場合はどうですか。
お答え:実は40歳台や50歳台の失語症の方には、この脳内出血の方がたくさんおられます。
 脳の内側の「被殻」といわれる所で、脳内出血が起こりやすいことが解っています。出血の量が少ない場合は、最初は結構重症の失語症が見られても3ヶ月ぐらいの内に大幅に回復して、失語症の痕跡が残らないほどに良くなることが一般的です。小さい脳梗塞がここに起こった場合も予後は極めて良好です。
 ただし出血量が多くて、脳室内に流れ込んだり、脳の外側の方に向かって血液が流れ出すなどの場合は、重症のままにとどまることもあり、その経過はさまざまです。出血がひどくて脳外科の手術を受けた場合は、手術の影響を受けることもあります。
 損傷の受け方で回復のペースがとても違うので、回復が見込めないという誤った情報を安易に出さないよう、医療や訓練にあたる専門家は、注意深い対応をする必要があります。
質問:今回の話は脳の病巣でおおよその失語症の回復の予測がつくということでしたね。
 この他にもたくさんの要因が失語症の回復に関係するということでしたから、更にいろいろのことを考えなければならないのですね。
お答え:そうです。続きの話はまた別にしたいと思います。何しろ回復の良し悪しをそう簡単にはいえないのが失語症です。2〜3年にわたる適切な言語訓練を是非受けて、可能性を追求してみる価値があります。
 これに関する資料で、一般の方にも手に入りやすいのは「日本医師会雑誌」の2002年12月号に、加藤正弘先生が「失語症のリハビリテーション」というタイトルで書かれた文献かと思います。日本医師会に入っておられる全国の医師のお手元にはあるはずです。お近くの先生に訊ねてみてください。

back
back

素敵な人々へ
失語症の回復へ


設営者:後藤卓也
設定期間:2001年3月15日〜2001年12月31日
管理:記念館

Copyright © 2001 author. All rights reserved.
最終更新日: 2011/09/21